部分矯正(前歯だけの矯正)
部分矯正(前歯だけの矯正)は、費用や期間を抑えながら気になる歯並びの見た目を改善できる治療法です。
東京銀座有楽町矯正歯科で採用しているマウスピース矯正 Oh my teeth Basicプランは、総額33万円(税込)、平均3ヶ月程度で前歯の改善を目指せます。
この記事では、前歯だけ矯正のメリット・デメリット、費用、前歯だけの矯正の症例そしてあなたの歯並びが治療に適しているかどうかを解説します。
↓↓あなたの歯並びがマウスピース矯正で改善できるか無料でわかる!!

マウスピース矯正 Oh my teethの特徴
- 透明で目立ちにくく、取り外しが可能
- オンライン管理中心(必要時のみ通院)
- 専属医療チームによるLINEサポートあり
適応範囲
叢生(ガタガタの歯並び)/出っ歯(上顎前突)/すきっ歯(空隙歯列弓)/八重歯/受け口/前歯が閉じない/中心がズレている/噛み合わせが深い
※いずれも軽度~中度の歯並びに限ります。また、該当する歯並びであっても、Oh my teethのマウスピース矯正の適応外と診断される場合があります。
当院の部分矯正(前歯だけの矯正)の特徴
費用は月々3500円~
「歯並び全体ではなく、気になる前歯だけを整えたい」 そうお考えの方へ、当院ではBasicプランをご案内しています。
矯正治療というと高額なイメージをお持ちの方も多いかもしれませんが、Oh my teethなら月々3,500円から無理なく始められます。
【明確でわかりやすい料金プラン】
| Basicプラン | Proプラン | インビザライン | |
|---|---|---|---|
| 一括払い(税込) | 33万円 | 66万円 | 88万円 |
| 分割払い(税込) | 月々3,500円~ ※1 | 月々10,600円~ ※2 | 月々22,800円~ ※3 |
※1 120回払い(初回3,519円)で支払う場合の分割支払い金額。総額420,019円(税込)。※2 72回払い(初回12,706円)で支払う場合の分割支払い金額。総額765,306円(税込)。※3 42回払い(初回26,271円)で支払う場合の分割支払い金額。総額961,071円(税込)。
デンタルローンを利用すれば、6回から120回まで分割回数を自由に選択可能。ご自身のライフスタイルに合わせた無理のないお支払いプランをお選びいただけます。もちろん、クレジットカードや銀行振込にも対応しています。
また、歯科医師が「噛み合わせが悪く機能的な問題がある」と診断した場合には、医療費控除の適用も可能です。
治療期間は平均3ヶ月
ワイヤー矯正では1年以上かかることも珍しくありませんが、Oh my teethのBasicプランなら最短2ヶ月、平均3ヶ月程度で矯正が完了します。
スピーディーな矯正を実現する仕組み
Oh my teethではご自宅で1週間ごとに新しいマウスピースへ交換していただきます。短い間隔で交換することで、歯に過度な負担をかけることなく、持続的かつ計画的に歯を動かせるため、痛みを抑えながら効率良く治療を進められます。
追加費用は原則なし
「後から費用が追加されるのでは?」というご心配の声をよく伺います。当院では、治療開始前に必要な費用をすべてご提示するトータルフィー制度を導入しておりますので、基本的に追加の費用は発生しません。
まず、治療を検討するための初回診断は、費用は一切かかりません。カウンセリングや歯型スキャン、レントゲン撮影まで、すべて無料で受けていただけます。
また、治療が始まってからの進捗管理は、主にLINEを用いたオンラインで行います。そのため、一般的なワイヤー矯正などで必要となる、通院ごとの「調整料」はかかりません。もちろん、治療計画にもとづいて作成されるマウスピースの費用も、すべてプラン料金に含まれています。
※マウスピースの破損や紛失をされた場合は、新しいマウスピースの作成費用が別途発生します。
有楽町駅・銀座駅からのアクセスと無料診断のご案内
東京銀座有楽町矯正歯科は、複数の路線が利用できる立地にあります。
主要駅からのアクセス
- JR・東京メトロ「有楽町駅」直結
- 東京メトロ「銀座駅」徒歩3分
- 都営三田線「日比谷駅」徒歩5分
有楽町駅直結のため、雨の日でも濡れずにお越しいただけます。お仕事帰りやお買い物のついでにも気軽にお立ち寄りいただける好立地です。
当院では、矯正治療を具体的にご検討いただくための無料診断をご用意しています。ご予約いただくことで、お待たせすることなくスムーズにご案内します。ご来院からお帰りまで、全体の所要時間は30分ほどです。

診断後、あなたの歯がどのように動いて理想の歯並びになっていくか、その過程を視覚的に確認できる3DシミュレーションをLINEでお送りします。
「まずは話だけ聞いてみたい」「自分の歯並びが部分矯正で治るか知りたい」など、まだ治療を決めていない段階の方も、もちろん歓迎いたします。診断を受けたからといって無理に契約をお勧めすることはありませんので、ご自身の歯並びを知る良い機会として、ぜひご活用ください。
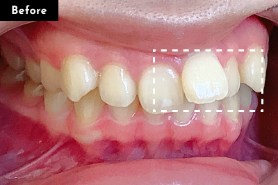
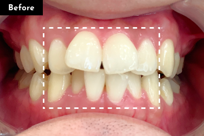
【前歯だけの矯正】Oh my teethで改善した症例
症例は一例です。治療結果・期間には個人差があります。写真の掲載は当院監修症例にもとづきます。
20代「下の前歯」


| 計画 | Oh my teeth Basicプラン アタッチメント/IPR 非抜歯 |
|---|---|
| 治療期間 | 約3か月 |
| 治療総額 | 33万円(税込) |
| 注意点 | 1日20時間以上のマウスピース装着が必須 リテーナーを最低1年間は1日20時間以上装着、その後徐々に着用時間を減らし、2年目以降は夜間のみ装着必須 |
| 治療のリスク | 虫歯・歯周病・ブラックトライアングル・歯根吸収・歯肉退縮・マウスピースによる痛みを感じる可能性・治療中に一時的に噛み合わせに不具合をきたす可能性 |
20代「上の歯」


| 計画 | Oh my teeth Basicプラン アタッチメント/IPR 非抜歯 |
|---|---|
| 治療期間 | 約7か月 |
| 治療総額 | 33万円(税込) |
| 注意点 | 1日20時間以上のマウスピース装着が必須 リテーナーを最低1年間は1日20時間以上装着、その後徐々に着用時間を減らし、2年目以降は夜間のみ装着必須 |
| 治療のリスク | 虫歯・歯周病・ブラックトライアングル・歯根吸収・歯肉退縮・マウスピースによる痛みを感じる可能性・治療中に一時的に噛み合わせに不具合をきたす可能性 |
30代「上の前歯」


| 計画 | Oh my teeth Basicプラン アタッチメント/IPR 非抜歯 |
|---|---|
| 治療期間 | 約3か月 |
| 治療総額 | 33万円(税込) |
| 注意点 | 1日20時間以上のマウスピース装着が必須 リテーナーを最低1年間は1日20時間以上装着、その後徐々に着用時間を減らし、2年目以降は夜間のみ装着必須 |
| 治療のリスク | 虫歯・歯周病・ブラックトライアングル・歯根吸収・歯肉退縮・マウスピースによる痛みを感じる可能性・治療中に一時的に噛み合わせに不具合をきたす可能性 |
20代「上下の前歯」


| 計画 | Oh my teeth Proプラン アタッチメント/IPR 非抜歯 |
|---|---|
| 治療期間 | 約5か月 |
| 治療総額 | 66万円(税込) |
| 注意点 | 1日20時間以上のマウスピース装着が必須 リテーナーを最低1年間は1日20時間以上装着、その後徐々に着用時間を減らし、2年目以降は夜間のみ装着必須 |
| 治療のリスク | 虫歯・歯周病・ブラックトライアングル・歯根吸収・歯肉退縮・マウスピースによる痛みを感じる可能性・治療中に一時的に噛み合わせに不具合をきたす可能性 |
20代「上下の前歯」


| 計画 | Oh my teeth Basicプラン アタッチメント/IPR 非抜歯 |
|---|---|
| 治療期間 | 約8か月 |
| 治療総額 | 33万円(税込) |
| 注意点 | 1日20時間以上のマウスピース装着が必須 リテーナーを最低1年間は1日20時間以上装着、その後徐々に着用時間を減らし、2年目以降は夜間のみ装着必須 |
| 治療のリスク | 虫歯・歯周病・ブラックトライアングル・歯根吸収・歯肉退縮・マウスピースによる痛みを感じる可能性・治療中に一時的に噛み合わせに不具合をきたす可能性 |
50代「上下の前歯」


| 計画 | Oh my teeth Basicプラン アタッチメント/IPR 非抜歯 |
|---|---|
| 治療期間 | 約4か月 |
| 治療総額 | 33万円(税込) |
| 注意点 | 1日20時間以上のマウスピース装着が必須 リテーナーを最低1年間は1日20時間以上装着、その後徐々に着用時間を減らし、2年目以降は夜間のみ装着必須 |
| 治療のリスク | 虫歯・歯周病・ブラックトライアングル・歯根吸収・歯肉退縮・マウスピースによる痛みを感じる可能性・治療中に一時的に噛み合わせに不具合をきたす可能性 |
治療の流れ(無料診断から完了まで)
当院でのマウスピース矯正は、初回の無料診断から精密検査、治療開始、仕上げ・保定まで一貫してサポートします。
オンライン管理を取り入れつつ、必要なときだけ通院していただけるため、忙しい方でも無理なく続けられるのが特徴です。
①初回カウンセリング・精密検査(無料)

まずはお悩みの箇所や理想の歯並びをお伺いし、Oh my teethのマウスピース矯正で対応可能かを診断します。
無料診断の内容
- 歯並びのお悩みや治療へのご希望をヒアリング
- レントゲン撮影
- 歯型スキャン
- お口の写真撮影
検査結果をもとに診断を行います。Oh my teethで対応可能な場合は、目安となる治療期間や費用を詳しくご説明します。適応が難しい場合は、ワイヤー矯正など代替プランをご提案しますのでご安心ください。
②治療計画の立案と費用確定

無料診断後、あなた専用の3Dシミュレーションが作成され、LINEに送られます。
シミュレーションで確認できること
- 歯がどのように動いていくのか
- 最終的な歯並びの仕上がりイメージ
- 必要なマウスピースの枚数(目安)
- 治療完了までの目安期間
シミュレーション内容にご納得いただけましたら、ご契約となります。
③ご契約後に矯正開始

契約後、1〜2週間程度でご自宅にマウスピース一式が届き、矯正スタートです。1〜2週間ごとにマウスピースを交換し、歯を少しずつ理想の位置へ動かしていきます。
装着時間は全体矯正と同じく原則1日20時間前後ですが、部分矯正は移動量が少ないため違和感が比較的少なく済むケースもあります。必要に応じてアタッチメントやIPR(歯の間をわずかに削ってスペースを確保する方法)を併用します。
数週間から数か月ごとに通院し、マウスピースの適合や歯の動きを確認します。部分矯正は範囲が限られる分、チェックもシンプルになりやすく、治療期間も全体矯正より短く済むケースが多いです。

Oh my teethでは、口腔内の写真をオンラインで共有いただき、遠隔で進捗を確認します。
④矯正完了後は保定期間へ

歯並びが整った後は、リテーナーを使用して後戻りを防ぎます。Oh my teethの保定方法 最後に使用したマウスピースをそのままリテーナーとして活用します。別途リテーナーを作製する必要がないため、追加費用がかかりません。
前歯だけ矯正のデメリットと「できない」ケース
前歯だけの部分矯正は、デメリットや適応できないケースがあることを理解しておく必要があります。
デメリット
- 適応できる症例が限られる
-
前歯だけの部分矯正が適しているのは、主に前歯の軽度から中等度のガタつきや隙間です。奥歯の噛み合わせに大きな問題がなく、前歯の見た目を少し整えたい、という場合に力を発揮します。
- 噛み合わせ全体の改善は難しい
-
部分矯正は治療範囲が前歯周辺に限られるため、奥歯の位置は基本的に動かせず、歯並び全体の噛み合わせを整えることを目的としていません。
もし「食事がしにくい」「顎が疲れやすい」といった機能的なお悩みも解消したい場合は、全体矯正が適しています。
- 治療後の後戻りに注意が必要
-
部分矯正は、動かす歯の本数が少ない分、周囲の歯による支えも少なく、この後戻りが起こりやすい傾向にあると言われています。 そのため、治療によって整った歯並びを維持するためには、リテーナーを歯科医師の指示通りに決められた期間、きちんと使用し続けることが必要です。
できないケース
部分矯正は、歯を動かせる範囲や距離に限りがあるため、以下のようなケースには適さない場合があります。
- 抜歯が必要なほど歯が大きく重なり合っている
- 奥歯の噛み合わせが左右や上下で大きくずれている
- 骨格的な問題が原因となっている出っ歯や受け口
上記のようなお悩みは、歯並び全体を動かす「全体矯正」や、場合によっては外科的なアプローチが必要になることも覚えておきましょう。
一般的な前歯だけ矯正の方法と費用比較
前歯の部分矯正には、当院が採用するマウスピース矯正以外にも、ワイヤーを使った矯正などがあり、それぞれに特徴や費用が異なります。
| 矯正方法 | 特徴 | 費用相場 |
|---|---|---|
| Oh my teeth | 透明で目立たない。取り外し可能。オンライン活用で通院頻度が少ない。 | 33万円~66万円 |
| インビザライン | 透明で目立たない。取り外し可能。幅広い症例に対応できる場合がある。 | 30万円~70万円 |
| 表側矯正(ワイヤー矯正) | 一般的で多くの症例に対応可能。装置が金属で目立ちやすい。 | 30万円~60万円 |
| 裏側矯正(ワイヤー矯正) | 歯の裏側に装置をつけるため、外からは見えない。費用は高額になる傾向がある。 | 40万円~70万円 |
マウスピース矯正は、目立たにくく、食事の際に取り外せる快適さが大きな魅力です。一方で、効果を出すためには、1日20時間以上といった装着時間を守る必要があります。
表側矯正は、費用を抑えやすいというメリットがありますが、金属の装置が目立つことを気にされる方もいらっしゃるでしょう。また、装置の周りに食べ物が挟まりやすく、歯磨きに少し工夫が求められます。
このように「何を一番優先したいか」によって、あなたに合った選択肢は変わってきます。それぞれの方法の良い点と注意点を理解した上で歯科医師とよく相談し、納得できる治療法を選択しましょう。
よくある質問(FAQ)
部分矯正に関してよくある質問を紹介します。
- 部分矯正ではどこまで直せますか?
-
前歯のガタつき・すき間・軽いねじれなどは適応になることが多いです。ただし部分矯正は「見た目の改善」が中心であり、噛み合わせ全体を大きく変えることはできません。奥歯の大きなズレや骨格的な問題がある場合は、全顎矯正や外科的矯正を検討することもあります。
- 部分矯正をする場合のマウスピースの装着時間は?
-
原則1日20時間前後の装着が必要です。自己管理が不十分だと治療が遅れたり計画通りに歯が動かなかったりするため、装着習慣を守ることが重要です。
- 部分矯正の値段の目安は?
-
部分矯正の値段相場は30万円〜70万円とされていますが、矯正装置や歯科クリニックによって料金に幅があります。当院ではBasic 33万円/Pro 66万円と2つの部分矯正プランを用意しています。
- 痛みはありますか?
-
マウスピースを交換した直後に締め付け感や軽い痛みを感じることがありますが、多くの場合は数日で落ち着きます。強い痛みが続く場合は早めに歯科クリニックへご相談ください。
- 抜歯は必要ですか?
-
部分矯正では原則として非抜歯で治療を行います。スペースが不足する場合は、歯の間をわずかに削るIPRや軽度の歯列拡大・遠心移動で対応することが多いです。
- 通院はどのくらい必要ですか?
-
一般的な歯科クリニックでは数週間〜1か月ごとに通院し、マウスピースの適合や歯の動きを確認します。
※Oh my teethでは、定期的に口腔内の写真を送っていただきオンラインで進捗を確認し、必要時のみ来院いただく仕組みを導入しています。
- 食事や歯磨きのときはどうすればいいですか?
-
食事中はマウスピースを外し、再装着前には歯をみがいて清潔に保ちます。コーヒーやワインなど着色の強い飲み物は、アライナー装着中は避けるのが無難です。
- 後戻りの心配はないですか?
-
治療後はリテーナー(固定式/取り外し式)を使用して歯並びを安定させます。部分矯正は特に後戻りしやすいため、保定の徹底が重要です。舌の癖や口呼吸がある場合はMFT(筋機能訓練)を併用することで、より安定を図れます。
- 保険は使えますか?
-
成人のマウスピース矯正は公的医療保険の適用外(自由診療)です。特殊な症例(口唇口蓋裂や顎変形症など)を除き、基本的に健康保険証を使っての治療はできません。
- 医療費控除は受けられますか?
-
矯正治療にかかった費用は、医療費控除の対象になる場合があります(審美目的のみの場合は対象外)。詳細は税務署や税理士などの専門家にご確認ください。
免責・リスクに関して
- 治療は基本的に自由診療です。
- 治療期間・回数・費用には個人差があります。
- 痛み・違和感/虫歯・歯周病リスク(清掃不良時)/歯根吸収・歯肉退縮/ブラックトライアングルの可能性があります。
- 装着時間や受診間隔の遵守が結果に影響します。
